肺結節傳染風險低,但需注意肺結節原因可能包含感染或腫瘤。常見肺部結節症狀如咳嗽、呼吸不順,通常肺部結節會痛嗎?多數無痛感需靠檢查發現。針對肺結節怎麼治療?醫師會依大小建議追蹤或手術。特別關注右下肺結節原因,可能與感染史或局部病變相關,定期健檢是關鍵!
目录
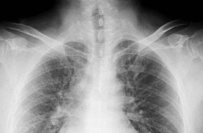
作为一名经常为患者解读肺部影像报告的胸腔科医师,我很理解大家对「肺結節」的担忧。网络上关于「肺結節傳染」的说法更是让许多人感到恐慌。今天,我希望能用一篇详尽的文章,以专业但口语化的方式,跟大家好好聊聊肺結節,特别是厘清「肺結節傳染」的迷思,并深入探讨大家关心的各个方面,包括肺結節原因、肺部結節症狀、大家常问的肺部結節會痛嗎、关键的肺結節怎麼治療,以及特定位置的右下肺結節原因。
经常有患者拿着报告,紧张兮兮地问我:“医生,报告说我肺里有个结节,会不会是肺結節傳染啊?我会不会传染给家人?” 老实说,每次听到这种问题,我都觉得有必要好好科普一下。首先,我们必须明确一点:「肺結節傳染」这个概念本身就是一个常见的误解! 肺結節本身不是一种特定的疾病,它只是一个影像学上的“描述词”,就像X光片上看到一个“小点点”。这个“小点点”能不能传染,完全取决于它背后代表的“真身”是什么。如果是感染(比如肺结核、真菌感染)引起的结节,那么引起该感染的那个细菌或真菌可能具有传染性,但这不等同于“结节本身”会传染。而绝大多数肺結節,特别是小的、偶然发现的,是由非传染性的原因造成的(比如良性肿瘤、陈旧疤痕、吸入的粉尘或早期肺癌)。所以,一看到结节就联想到肺結節傳染,是非常不必要的恐慌。今天,我们就来彻底拆解这个迷思,并详细说说肺結節的方方面面。
肺結節原因:那個小點點是哪裡來的?

当我们在CT或X光片上看到一个肺結節,最重要的第一步就是尝试弄清楚它的肺結節原因。这就像是侦探破案,需要根据结节的形态、大小、位置、你的病史和症状(如果有的话)来综合判断。关于肺結節傳染的担忧,往往源于对某些特定原因的误解。
感染性原因:有時是傳染的源頭,但非結節本身
有些感染会在肺部留下结节状的疤痕或肉芽肿。例如,肺结核(TB)的肉芽肿、某些真菌感染(如组织胞浆菌病、球孢子菌病)或寄生虫感染。这时,引起感染的病原体(结核杆菌、真菌孢子等)可能通过空气飞沫传播,具有传染性。这才是肺結節傳染担忧的真正来源——是背后的感染源传染,而非那个影像上的“结节影子”。如果怀疑是这个肺結節原因,医生会做进一步检查(如痰液检查、血液检查)来确认病原体。
非感染性良性原因:完全不會傳染
绝大部分肺結節是良性的,跟传染八竿子打不着:
- 陳舊疤痕: 这是非常常见的肺結節原因。以前得过肺炎、肺结核(已治愈)、肺脓肿或者其他肺部损伤,愈合后留下的纤维化疤痕组织在影像上看起来就像个结节。这个完全无害,更不用说肺結節傳染了。
- 良性腫瘤: 错构瘤、硬化性血管瘤、肺纤维瘤等良性肿瘤可以表现为肺结节。它们生长缓慢,不会转移,当然也不会传染。我常在门诊安慰病人:“别紧张,这种结节就是个‘良民’,不会闹事,更不会传染。”
- 肉芽腫性疾病: 像结节病(Sarcoidosis)这类全身性疾病,会在肺部形成多发的肉芽肿性结节。虽然病因不明,但明确不具有传染性,不用担心肺結節傳染。
- 風濕免疫疾病相關: 类风湿性关节炎等疾病有时肺部也会有结节表现(类风湿结节),属于疾病的一部分,不传染。
- 吸入異物或粉塵: 吸入一些粉尘(如矽尘、煤尘)或小的异物,肺部会产生反应,形成肉芽肿或纤维化结节(尘肺病的一种表现)。这属于职业或环境暴露问题,没有传染性。
- 血管病變: 肺部的动静脉畸形或血管瘤也可能在影像上呈现为结节影。这属于血管结构异常,同样不传染。
惡性原因:肺癌的早期警訊
这是大家最担心的肺結節原因。确实,肺结节可能是原发性肺癌(如腺癌、鳞癌)的早期表现,也可能是从身体其他部位转移过来的癌症。肺癌本身不具有传染性!你不会因为靠近肺癌患者就被“传染”肺癌。肺癌的发生与吸烟、空气污染、家族史、基因突变等多种因素相关,和病毒细菌引起的传染病完全是两码事。所以,即便是这个原因,也百分百排除了肺結節傳染的可能性。关键在于早期发现和诊断。
肺部結節症狀:你真的能感覺到它嗎?

谈到肺部結節症狀,我必须强调一个非常重要却常被忽视的事实:绝大多数肺結節,特别是小的(小于1公分)、早期的,是完全没有症状的! 它们就像肺部悄悄长出的“小蘑菇”,不会发出任何声响。关于肺結節傳染的焦虑,很多时候源于身体出现某些不适后,检查发现了结节,让人误以为是结节引起的症状甚至担心会传染,其实往往两者没有直接关联。
無症狀是常態:體檢的意外發現
绝大多数肺结节是在做胸部X光或CT检查时,因为其他原因(比如体检、手术前评估、或者排查其他疾病如心脏病)而被意外发现的。患者本人完全感觉不到任何异样,更不会联想到肺結節傳染。这时医生需要评估结节的良恶性风险。
當結節較大或位置特殊時的可能跡象
只有当结节长到一定大小(通常比较大),或者刚好长在靠近气管、胸膜等敏感位置时,才可能引起一些肺部結節症狀:
- 持續性咳嗽: 如果结节刺激到支气管,可能引起干咳或带痰的咳嗽。但这种咳嗽原因很多,不能归咎于结节,更非肺結節傳染的表现。
- 咳血(痰中帶血絲): 这是一个需要高度重视的症状。如果结节侵犯了血管(特别是恶性结节),可能导致痰中带血丝(咯血)。一旦出现,必须立即就医。但这与传染无关。
- 呼吸困難、喘鳴: 非常大的结节或者多个结节阻塞了气道,才可能导致呼吸困难或喘鸣。良性结节很少引起严重阻塞。
- 反覆肺部感染: 如果结节阻塞了某一部分支气管,可能导致分泌物引流不畅,容易反复发生同一部位的肺炎。
- 非特異性症狀: 在极少数情况下,特别是恶性肿瘤相关的结节,可能会出现体重莫名下降、疲劳、食欲不振等全身症状。这些症状的出现通常意味着疾病可能已非早期。
值得注意的是,如果结节是由活动性感染(如肺结核)引起的,那么患者可能出现该感染本身的症状(如低烧、盗汗、消瘦、咳嗽咳痰),这些症状的出现是因为感染本身,而非单纯的“结节存在”,并且引起感染的病原体可能传染(如结核杆菌),但这不等同于“结节在传染”,源头是病原体。
肺部結節會痛嗎?揭開疼痛的迷思

“肺部結節會痛嗎?” 这几乎是每个初次发现结节的患者必问的问题。担心结节引起疼痛,甚至错误地将肩背痛联想到肺結節傳染,这种焦虑我非常理解。但答案可能会让你稍微松口气:
肺部組織本身對痛覺不敏感
肺脏内部的实质组织和肺泡本身是没有痛觉神经分布的。所以,如果你的小结节乖乖地长在肺叶深处,它再怎么折腾(只要不侵犯到特定结构),你大概率是感觉不到任何疼痛的。这是理解肺部結節會痛嗎的关键基础。
疼痛的可能來源:當侵犯敏感區域
那么,在什么情况下,肺结节会引起疼痛?
- 侵犯胸膜: 胸膜(覆盖在肺表面和胸腔内壁的两层膜)富含痛觉神经。如果结节生长侵犯到靠近肺表面的胸膜(壁层胸膜),或者引起胸膜炎,就可能产生疼痛。这种疼痛通常是尖锐的、针刺样的,并且常常随着深呼吸、咳嗽或打喷嚏而明显加重,位置相对局限。如果结节是恶性的并侵犯胸壁,疼痛可能更持续和剧烈。
- 侵犯胸壁或肋骨: 极少数的、非常大的结节或者恶性肿瘤,如果直接侵犯到胸壁的肌肉、骨骼或神经,会引起局部持续性的、比较深在的疼痛。这通常发生在疾病晚期。
- 阻塞性肺炎: 如果结节导致支气管阻塞进而引发肺炎,肺炎本身可能引起胸部闷痛或钝痛。
非結節引起的常見胸痛
更多时候,患者感觉到的“胸口痛”、“肋骨痛”或“背痛”,其实和肺结节本身并无直接关系。常见的原因包括:
- 肌肉骨骼疼痛: 姿势不良、肌肉拉伤、肋软骨炎(Tietze综合征)是非常常见的胸壁痛原因。这种疼痛通常能被按压到具体痛点,活动身体时加剧。我见过不少病人因为肋软骨炎疼痛,焦虑地以为结节在痛甚至担心肺結節傳染恶化。
- 神經痛: 如带状疱疹(皮蛇)或其后的神经痛。
- 心臟問題: 心绞痛、心包炎等。
- 胃食道逆流: 常表现为胸骨后烧灼感或疼痛。
- 焦慮或恐慌: 强烈的焦虑情绪本身就可以引起胸痛、胸闷、呼吸困难等症状。发现肺结节带来的心理压力很容易诱发这类身体反应。
因此,单纯因为发现肺结节就感到胸痛,绝大多数情况下并非结节本身所致,更与“肺結節傳染”无关。 如果出现新的、持续的胸痛,当然应该就医检查,但医生会综合判断疼痛的来源,通常需要排除上述更常见的原因。不必一有胸痛就立刻归咎于结节并恐慌肺結節傳染。
肺結節怎麼治療?取決於它的真面目

发现肺结节后,“肺結節怎麼治療?”自然是患者最迫切想知道的问题。治疗方案完全取决于对结节性质的判断,也就是我们前面花了大力气去评估的那个肺結節原因。再次强调,担心肺結節傳染通常没有必要,除非确认是由活动性传染病引起。治疗策略大致分以下几类:
觀察追蹤:最常見的初始策略
对于低度恶性风险的小结节(尤其是初次发现、小于8毫米、形态规则的实性结节或纯磨玻璃结节),最常用且安全的策略是定期CT复查随访。
- 目的: 通过观察结节在一段时间(如3个月、6个月、1年或2年)内的大小、密度是否有变化,来判断其良恶性。良性结节通常变化不大或生长极其缓慢;恶性结节则可能在随访期内观察到增长或密度变化(如实性成分增多)。
- 頻率與時間: 医生会根据结节的初始风险评估(大小、密度、形态、位置)以及你的个人风险因素(年龄、吸烟史、家族史等)来确定复查间隔和总随访时长。有时需要随访2年以上才能比较放心。
- 優點: 避免不必要的侵入性检查或手术,特别是对于那些最终证明是良性的结节。这在很大程度上缓解了患者对肺結節傳染或恶性的焦虑。
積極診斷:當風險較高或變化時
如果结节在随访期间增大、密度发生变化,或者初始评估就认为恶性风险较高(如大于8毫米且有恶性特征,或混合磨玻璃结节有实性成分),就需要进行更积极的诊断:
- 胸部電腦斷層引導下穿刺活檢: 在CT精确引导下,用细针穿刺到结节内吸取少量细胞或组织进行病理检查。“这个检查准确率高吗?” 很多病人担心。对于位置合适、足够大的结节,阳性率(能明确诊断)还是比较高的,但也有一定假阴性可能(没穿到癌细胞不等于一定没有)。
- 支氣管鏡檢查與相關技術: 对于靠近中央气道的结节,可以直接通过支气管镜观察并活检。对于外周结节,可采用电磁导航支气管镜、径向超声支气管镜(EBUS-R)或虚拟导航等技术引导到达目标进行活检或刷检。这些技术创伤相对小。
- 正子攝影: 注射一种放射性葡萄糖(FDG),癌细胞代谢旺盛会大量摄取它,从而在影像上显示为“亮点”。有助于判断结节代谢活性(恶性通常高代谢)及有无全身转移。对某些感染或炎症结节也可能显影(假阳性),需结合其他检查判断。
手術切除:診斷與治療一舉兩得
当高度怀疑恶性,或者结节较大、随访中明显进展时,手术切除通常是最终的解决方案。
- 方式: 主要通过胸腔镜微创手术(VATS)进行。创伤小,恢复快。根据结节大小、位置和怀疑的恶性程度,可能做楔形切除(切掉一小块肺组织)、肺段切除或肺叶切除。术中会送快速病理检查,根据结果决定最终切除范围。
- 優點: 既能明确病理诊断(金标准),又能达到根治性治疗(如果是早期肺癌)。对于确诊恶性的结节,这是主要的治愈手段。手术切除的结节,自然也就消除了对其性质的任何猜测或对所谓肺結節傳染的担忧。
- 考量: 手术有风险(如出血、感染、麻醉风险),且会损失部分肺功能。医生会综合评估患者身体状况、肺功能是否能耐受手术以及结节的恶性概率来决定。
治療潛在原因:針對特定狀況
如果诊断明确结节是由特定的非恶性疾病引起:
- 感染性結節: 如活动性肺结核、真菌感染,则进行规范的抗结核或抗真菌药物治疗。此时治疗目标是清除具有潜在传染性的病原体(如结核杆菌),防止疾病进展和传染他人。这才是真正需要关注“传染性”的时候,但对象是病原体,而非结节影像本身。
- 風濕免疫疾病相關結節: 治疗原发疾病为主,结节可能随原发病控制而稳定或消退。
- 良性腫瘤: 如果无症状且诊断明确(如典型的错构瘤),通常只需定期观察,无需特殊处理。
所以你看,肺結節怎麼治療没有一刀切的答案,必须个体化。关键在于精准评估风险,选择合适的时机进行诊断或干预,而不是盲目恐慌肺結節傳染或急于手术。
右下肺結節原因:位置有特別意義嗎?
有些患者会很在意结节的具体位置,尤其是看到报告写着“右下肺结节”时,会问:“医生,右下肺結節原因会不会不一样?是不是特别不好?” 甚至担心这个位置的肺結節傳染风险是否更高。其实,肺结节的位置(左上叶、左下叶、右上叶、右中叶、右下叶)本身通常不能直接指明特定的原因或明显改变恶性概率。不过,结合其他特征,位置有时能提供一些额外的线索:
感染性/炎症性結節的位置偏好
- 吸入性相關: 右下肺葉(特别是背段)是吸入性肺炎或吸入异物相对好发的部位。因为人体右主支气管较左主支气管更粗短且角度更直,异物或分泌物更容易掉入右下肺。因此,如果右下肺的结节周围伴有炎症或实变,并且患者有呛咳史、意识障碍或胃食管反流等情况,吸入相关的右下肺結節原因(如吸入性肺炎后肉芽肿或脓肿)可能性就需考虑。如果是活动性吸入性感染,病原体可能有传染性(如某些细菌),但这与结节位置无关。
- 結核好發部位: 肺结核的再活动病灶(继发性结核)相对更多见于肺上叶的尖后段和下叶的背段。所以右下肺背段的结节,如果形态符合(如空洞、卫星灶),结合症状和接触史,结核仍然是需要鉴别的右下肺結節原因之一。此时传染性是结核杆菌决定的,而非右下肺这个位置本身。
惡性腫瘤的位置分布
总体来说,肺癌(腺癌)可以发生在肺的任何部位。不过,有些观察和研究提示:
- 腺癌: 在周围型肺癌中,腺癌是最常见的类型。它可以发生在各个肺叶,并没有明确的统计数据表明右下肺叶的腺癌发生率显著高于其他肺叶。腺癌更多表现为周围型结节(包括右下肺)。所以,一个孤立的右下肺结节,恶性可能并不比其他位置的同等大小形态特征的结节更高或更低。
- 鱗狀細胞癌: 则更多与中央型肿块相关(靠近肺门大气道),相对少表现为周围型结节。但鳞癌也可能发生在周围。
其他良性原因的位置考量
- 陳舊疤痕: 陈旧疤痕的位置取决于既往肺部损伤(如肺炎、结核)发生的部位。右下肺既往得过严重的肺炎,那么在这个位置留下疤痕结节就很常见。
- 動靜脈畸形: 可以发生在肺的任何部位。
- 轉移性腫瘤: 理论上可以转移到肺的任何部位,但血行转移灶在下肺野可能相对多见一些(受血流动力学影响),但这并非绝对规律。
因此,总结来说:
- 右下肺看到结节,不必因为它位于“右下肺”这个位置就特别恐慌或认为恶性风险更高、或者更容易发生肺結節傳染。评估其良恶性风险的核心依据仍然是大小、密度(实性/亚实性)、边界、形态特征(分叶、毛刺、胸膜牵拉等)、增长速率以及患者的风险因素(吸烟史、年龄等)。
- 位置(如下叶背段)结合结节形态(如空洞)、周围改变(如卫星灶、树芽征)和临床资料(如发热、盗汗、接触史),可能有助于提示某些特定的感染性右下肺結節原因(如结核、真菌)或吸入性相关病变。
- 最终确诊仍然需要依靠影像随访、生物标志物检查、穿刺活检或手术切除等方法来明确,而不是单凭位置下结论。不必对右下肺結節原因有过度的特殊担忧或与肺結節傳染强行关联。
Q&A:關於肺結節傳染與其他熱門問題
肺結節會自己好嗎?
这个问题要看结节的“出身”。如果是感染性原因(如某些细菌性肺炎后的小肉芽肿、或轻微的病毒感染后改变),随着感染被身体清除或治疗痊愈,这个炎症性的小结节有可能逐渐吸收变小甚至消失。一些非常小的非特异性炎症结节也可能自行消散。但是,如果是陈旧疤痕、良性肿瘤(如错构瘤)或者早期的肺癌,它们通常不会自行消失。疤痕就是永久性的烙印;良性肿瘤生长缓慢但会持续存在;恶性肿瘤如果不处理,几乎肯定会进展。所以,不能寄希望于肺结节自己好,尤其是医生判断需要随访或干预的结节,必须遵医嘱。这与肺結節傳染无关,而是性质决定的行为。
肺部毛玻璃結節是什麼?
这是CT报告上经常出现的名词,看起来很高大上,其实就是指在CT影像上呈现为淡淡的、像磨砂玻璃一样朦胧影的肺结节。它不像实性结节那样是“实心小白点”。这种密度增高是由于肺泡腔内仍有空气,但肺泡壁发生了增厚、肺泡腔内有液体/细胞渗出/纤维化或肿瘤细胞沿肺泡壁生长等原因造成的。毛玻璃结节(GGN)可以是纯磨玻璃结节(pGGN),也可以是混合磨玻璃结节(mGGN,即同时含有磨玻璃成分和实性成分)。它的重要性在于: 持续存在的毛玻璃结节(特别是混合性的)是早期肺癌(尤其是肺腺癌) 的重要影像学表现之一(如原位腺癌AIS、微浸润腺癌MIA)。当然,它也可能是由暂时性的炎症、局灶性出血或纤维化引起的良性改变。发现肺部毛玻璃结节,医生会非常谨慎地评估其恶性风险(看大小、实性成分比例、是否有增长等)。需要明确的是,毛玻璃结节本身只是一种影像形态描述,与传染性完全无关,不存在所谓的“毛玻璃结节传染”。 关键是要明确它的性质是良性还是恶性前病变/恶性。
肺結節怎麼消失?
肺结节“消失”通常指在后续的影像检查(通常是CT)中看不到它了,或者它变得非常小、密度非常淡几乎无法辨识。这主要发生在以下几种情况:
- 結節本就是短暫炎症或水腫: 这是最常见的原因。比如一次轻微的病毒感染、小范围的肺炎或吸入性刺激引起的局部反应,在炎症消退、水肿吸收后,结节就消失了。医生常常建议小的、低风险结节3-6个月后复查,有很大一部分就是期待和证实这种良性过程(炎症吸收)。
- 感染被成功治療: 如果是活动性感染(如细菌、结核、真菌)引起的结节,经过规范、足疗程的有效药物治疗后,感染被控制,炎症吸收,结节随之缩小甚至消失(残留的可能是纤维疤痕)。
- 手術切除: 这是最彻底的“消失”方式。通过手术将结节及其周围部分肺组织切除,结节就从物理上被移除了。适用于确诊或高度怀疑恶性的结节,以及某些引起症状的良性结节。
- 其他治療: 对于无法手术的早期肺癌,有时会采用立体定向放射治疗(SBRT),通过高精度大剂量放疗消灭肿瘤细胞,使结节在影像上可能缩小、密度改变或停止生长(达到控制目的,严格意义上不是“消失”,但能达到类似效果)。消融治疗(射频、微波等)也可用于摧毁小结节。
良性肿瘤(如错构瘤)或陈旧疤痕结节通常不会自行消失。肺癌结节如果不治疗,几乎不可能消失,只会进展。 所以,指望结节自己消失而不去随访或处理高风险结节是非常危险的。这跟肺結節傳染没关系,而是性质决定其是否可逆。
毛玻璃結節會轉移嗎?
这个问题非常关键!答案需要分情况看,核心在于病理性质:
- 純粹的良性毛玻璃結節(如炎症、局灶纖維化):它们本身就不是肿瘤,不存在“转移”这一说。治疗好病因或者观察稳定即可。
- 癌前病變(如非典型腺瘤性增生AAH)或極早期肺癌(如原位腺癌AIS): 这类病变的恶性细胞严格局限于肺泡腔内,尚未获得侵袭周围组织或穿透基底膜的能力,因此几乎不会发生淋巴结转移或远处转移。手术切除治愈率接近100%。这是毛玻璃结节最重要的特点之一,也是提倡早筛早治的理论基础。
- 微浸潤性腺癌: 癌细胞开始突破基底膜,出现微小的间质浸润(≤5毫米),但转移的可能性仍然极低,手术切除效果极好。
- 浸潤性腺癌表現為毛玻璃結節(特別是混合性GGN): 当毛玻璃结节中的实性成分比例较高或持续增大,可能提示已经进展为具有侵袭能力的浸润性腺癌。此时,理论上存在淋巴结转移和远处转移的风险,虽然表现为毛玻璃成分为主的浸润癌其转移风险通常低于同期的纯实性结节癌,但风险并非为零。风险大小取决于浸润灶的大小、病理亚型、分化程度等因素。
因此,不能笼统地说“毛玻璃结节会转移”。 持续存在的、特别是含有实性成分的毛玻璃结节需要高度重视,通过CT随访密切监控其变化,必要时积极诊断(活检)或手术干预,目的是在它处于不会转移的早期阶段(如AIS, MIA)就将其根除。毛玻璃结节本身不具有传染性(肺結節傳染),它们是否会转移完全取决于其内在的病理性质和发展阶段。 早发现、早诊断、早处理是避免转移的关键。